why choose us
Why Patients Trust Us with Their Smiles
Discover what sets us apart - from comfort, to technology to results!
Compassionate Dentistry
We prioritize your comfort—delivering care with empathy, kindness, and a gentle touch that makes even nervous patients feel at ease.
Friendly Service, Always With a Smile
From your first call to every visit, our welcoming team ensures you feel valued, respected, and cared for—because your smile starts with ours.
Your Partner in Oral Health
Whether you're in pain or just need guidance, we're here to help with honest answers, clear explanations, and no-pressure care plans.
Accurate Diagnoses You Can Trust
Using advanced technology and years of clinical experience, we provide clear, accurate diagnoses so you can make confident decisions about your care.
Prevention-Focused Annual Checkups
We make routine dental care easy and stress-free—because prevention today means fewer problems tomorrow.
Flexible Payment Options That Work for You
We believe quality care should be accessible. That’s why we offer flexible financing and accept most insurance plans.
Leading Dental Care, Backed by Technology
Smarter Tools. Compassionate Experts. Better Results.
At Sincere Smiles, our skilled team of dentists, hygienists, and care coordinators work together to provide exceptional dental care tailored to your schedule and needs. We combine advanced tools with a human touch — because your smile deserves both precision and compassion.
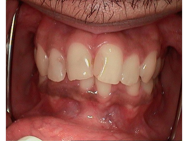
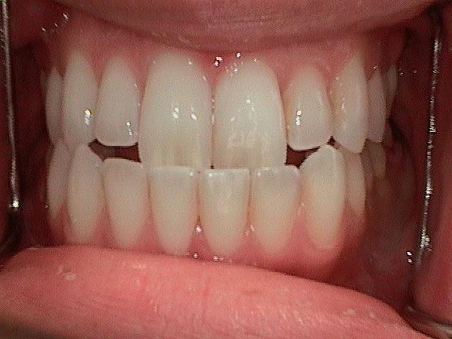
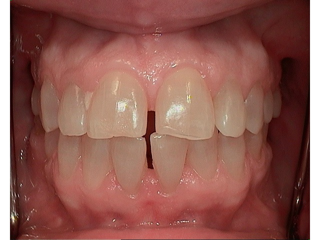
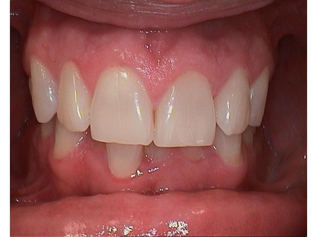
Smile Transformations
Real Patients, Real Results
Invisalign Before and After (Actual Patients)
Veneers Before and After (Actual Patients)
Exclusive Savings for New and Returning Patients
Summer 2025 Limited Time Specials
New Children Dental Exam Special $325
Comprehensive new Children dental exam with complete x-rays and Cleaning and fluoride treatment – $325 ($615 value). Offer is good for new children patients up to 12 years of age only. Cannot be combined with other offers or with dental insurance. Limited time offer.
Mention Code: EXAM325
New Adult Dental Exam Special $325
Comprehensive new Adult dental exam with complete x-rays and Cleaning – $325 ($615 value). Adult dental exam offer good for Non-insured patients only, cannot be combined with insurance. Limited time offer.
Mention Code: EXAM325
Emergency Dental Exam and X-Rays for $199
Emergency exam, necessary x-rays and photos $199 (value $325) Limited time offer. Cannot be combined with any other offers or dental insurance.
Mention Code: EXAM199
Zoom Teeth Whitening “Whitespeed” Special
35% off Zoom Teeth Whitening, now only $399 ($625 value). One offer per patient. Limited time offer. Home trays available for an additional $125 ($350 value). Cannot be combined with any other offer.
Veneers Specials
Receive $500 off veneers OR receive a FREE in-office whitening with paid veneer treatment. Redeemable once per lifetime per patient of Sincere Smiles. Cannot be combined with any other offers. Minimum of two veneers required for this offer and patients must be an eligible candidate for veneers.
Invisalign Discount $500 Off
Receive $500 off Invisalign (Full case, does not apply to express cases) Offer does not include retainers – please call for details. Payments as low as $150/month. Cannot be combined with other offers.
Mention code: ALIGN500
Meet our specialists
Sincere Smiles Team
Our Mission
“We believe that as professional cosmetic and family dentists in San Jose Silicon Valley, it is our mission to preserve teeth and prevent dental infection using the latest techniques and technologies while earning the trust and respect of our dental patients. Our greatest joy is patient satisfaction evidenced by a beautiful, healthy smile!”
-Dr. Fatima Vafai, DDS, FAGD

Daisy
Registered Dental Assistant
Hi, I’m Daisy! I’m a bilingual Registered Dental Assistant with 7+ years of experience delivering compassionate, high-quality care. I create a welcoming environment for every patient. Outside of work, I enjoy soccer, long walks, gaming (Call of Duty!), and time with my partner—and my bearded dragon, Reptar, keeps things fun!

Christie
Front Office
Hi, I’m Christie! A proud San Jose native and mom of two, I’ve worked in the dental field for over 15 years in both front and back office roles. I’m passionate about connecting with patients and love seeing their confidence grow through smile transformations—it’s truly the most rewarding part of my day.

Sandra
Certified Dental Assistant
Coming Soon.

Maggie
Front Office
I manage a dental office with compassion and accountability, supporting my team to deliver exceptional patient care. Born in Manila and raised in the Bay Area, I love paddleboarding, family outings, and cheering on Bay Area sports. I’m also a proud autism advocate for my son.
Meet Dr. Fatima Vafai
Professional, Friendly & Experienced
Dr. Fatima Vafai
Dentist
“Saving teeth and creating a smile that gives my patients more confidence and happiness is my greatest professional pleasure.” – Dr. Fatima Vafai
Dr. Fatima Vafai (Vah Fah ee) practices Minimally Invasive techniques such as Supra-Gingival Dentistry, giving her patients a healthier alternative that provides them with less injury and less pain and thus decreases overall recovery time.
Dr. Fatima Vafai is also a “Fellow” of the Academy of General Dentistry (FAGD), having earned a minimum of 500 approved continuing education credits and passing a comprehensive 400-question examination on current topics and research techniques in dentistry. Typically a licensed dentist would only need 50 continuing education credits every two years to keep the license active, which means Dr. Vafai’s education is far beyond the norm and shows a commitment to staying up-to-date and going above and beyond for professional growth and patient care.
Contact Us
Let's Connect
Whether you’re ready to book an appointment, have a question about your dental health, or just want to learn more about our practice — we’d love to hear from you. Call, Email, talk to Pearl, our AI Assistant, or stop by and say hello. Our team is here to help every step of the way.


